
一、孤立结节或团块
约有 1/3 的肺癌在影像学上表现为孤立结节或肿块。孤立结节在胸片或 CT 上常被定义为局灶性致密影,特点如下:
1) 边缘相对清晰。
2) 至少部分由肺包绕。
3) 类圆形。
4) 直径3cm 或3cm 以下。
直径超过3cm 的病灶称为肿块(图1,图2,图3)。
A. 胸片显示左肺肿块(M) 提示肺癌,可见双侧胸膜增厚伴钙化(箭头);B.CT 显示左肺肿块(M) 和双侧局限性胸膜钙化斑(箭头),为石棉肺的典型表现

图2 鳞状细胞癌伴空洞
A. 胸片显示右上叶大的厚壁空洞;B.CT 显示厚壁空洞及壁结节,为恶性空洞的典型征象,属T2 期

图3 大细胞肺癌
A. 胸片显示左肺巨大肿块;B. 在对比增强CT 上,巨大肿块占据左肺,左侧胸腔可见积液
二、肺上沟瘤
影像学表现包括肺尖肿块(60%)(图4),单侧或不对称性肺尖胸膜增厚(“胸膜帽”, 40% )(图5) 和骨质破坏(25%)。胸膜帽的出现不一定都是肿瘤病变。

图4 肺上沟瘤
A. 胸片显示右肺尖肿块( 箭头);B. 经右肘注入对比剂行增强CT显示肿块占据肺尖部(T),右锁骨上静脉阻塞(箭头) 伴多支胸壁静脉侧支形成;C. 冠状CT 重建显示肺尖肿块( 箭头) 沿胸壁延伸

图5 肺上沟瘤显示胸膜帽,伴骨破坏和臂丛神经受侵
A. 右肺尖肺上沟瘤(白箭头) 与胸膜增厚类似,下方的肋骨可见部分破坏(黑箭头);B.CT 显示右肺尖占位性肿块,局部肋骨破坏(箭头);C.MRI 的T1WI 示右肺尖肿块,臂丛神经受累(白箭头),左侧臂丛神经正常, 可资对照
三、气道异常
1、支气管异常
支气管异常有时可在肺癌患者的胸片上识别,但是CT 更加明显。支气管异常包括:
1) 支气管腔狭窄或锥形狭窄,反映了肺癌沿支气管壁浸润的趋势(图6A),支气管腔锥形狭窄或“鼠尾征”高度提示恶性肿瘤。
2) 支气管腔的突然截断(图6B)。
3) 支气管内肿块固定,呈不规则的息肉状表现(图6C)。
4) 支气管壁增厚,右上叶或中间段支气管后壁侵犯最易显示(图6D,图7)。
5) 外源性肿块压迫支气管或浸润支气管壁引起支气管壁狭窄且光滑(图6E,图7)。

图6 肺癌的支气管异常
A. 左上叶支气管阻塞,显示锥形狭窄或鼠尾征(箭头),左上叶肺不张;B. 左肺上叶肺癌(箭头),相应支气管管腔截断;C. 右下叶支气管内可见息肉状的癌存在,周围为新月形气影;D. 右上叶支气管(箭头) 后壁增厚伴右肺门癌,常提示支气管浸润;E. 左肺门癌致左肺上叶和前段的支气管(箭头) 狭窄,可能由肿瘤浸润支气管壁或外部肿块压迫导致

图7 石棉暴露后的右肺门肿瘤
大的、边界不清的右肺门肿块包绕致右肺上叶支气管狭窄,为典型的小细胞肺癌的征象
2、黏液栓
完全阻塞或部分阻塞性肿瘤有时会引起阻塞部位远端支气管内黏液潴留,此时由于侧支通气肺叶仍然保持充气。平片或CT 上可显示黏液栓或栓子呈分支状表现(图8),可见“手套征”或表现为串珠状,CT 上黏液栓呈低密度影。

图8 肺癌支气管阻塞患者的黏液栓
A. 下叶支气管充满黏液栓(箭头),充满黏液的支气管位于肺动脉旁,远端的肺组织保持充气; B. 更高层面显示肺门肿块(M) 伴右肺下叶支气管阻塞
3、气管癌
鳞癌最常见于远端气管(图9),接近气管隆突,可引起一侧主支气管的阻塞;腺状囊性癌最常见于近端气管,常起源于气管的后壁或侧壁。
常见影像学表现有局灶性气管狭窄, 右侧气管旁带增厚,局灶性气管腔内病变或纵隔肿块(图10)。

图9 气管内息肉状鳞癌
在气管隆突水平可见一圆形肿块(箭头)
图10气管的鳞状细胞癌侵及纵隔
平片显示气管右侧被大的纵隔肿块(箭头) 所代替,支气管内的肿块引起气管局限性狭窄
四 、肺不张、肺实变和弥漫性肺实质侵犯
1、阻塞性肺不张和肺实变
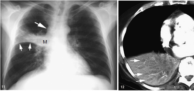
肺不张常见,可累及段、叶或一侧肺(图11),还可继发肺炎或肺脓肿。

图11 鳞状细胞癌伴支气管阻塞和肺不张
胸片显示右肺门大肿块(M) 伴水平裂向上弯曲移位(小箭头)。呈反“S”征,可见纵隔淋巴结增大(大箭头)
阻塞性肺炎是肺癌支气管阻塞的常见表现,在胸片上,常见肺实变和肺容积减少。在CT 上,常见表现包括肿瘤阻塞支气管、肺实变、实变肺内扩张支气管充盈黏液或液体(黏液支气管征),尤其是在对比增强时表现更明显(图12)。通常无空气支气管征。空气支气管征偶见于伴不张和实变的部分阻塞的中心支气管病变。CT 可见肺或肿块内坏死区。
图12 阻塞性肺炎伴黏液支气管征
右肺门癌患者,右肺下叶实变伴体积减小,为阻塞性肺炎典型表现,实变内见黏液支气管征(箭头)
2. 细支气管肺泡癌的实变
40%的细支气管肺泡癌(BAC) 在影像学上表现为肿瘤引起的弥漫性肺浸润,尤其是BAC 的黏液亚型, 大多数BAC 为混合表现。弥漫性BAC 的主要影像学表现如下:
1) 片状、大叶的或弥漫性实变伴空气支气管征(60%)(图13,图14,图15A)。
2) 多发的模糊结节(30%)(图13B,图15B、C)。
3) 片状、大叶的或弥漫性肺磨玻璃样致密影(10%)。
CT 上BAC 患者的实变区呈低密度影,这很大程度上是肿瘤产生的水样液体和黏液所致。如果行对比增强,强化的肺血管在实变的区域内可见,称为“CT 血管造影征”,描述了实变肺的低密度改变。CT 血管造影征是BAC 的典型表现,看到这一征象应想到BAC。
BAC 的模糊结节代表局灶性实变,具有典型的气腔结节特征(图13B,图15B)。直径常在5mm ~ 1cm,也可更大。在CT 上呈小叶中心分布。

图13 弥漫性细支气管肺泡癌
A. 胸片显示右肺基底部的实变( 箭头);B.5mm 层厚的CT 显示多个区域的实变,含有空气支气管征,多发的边界不清的结节,这些结节呈小叶中央分布,代表气腔或腺泡结节,在弥漫性细支气管肺泡癌中很常见

图14 弥漫性细支气管肺泡癌侵犯两上叶,伴实变和空气支气管征
图15 弥漫性细支气管肺泡癌(BAC)
A. 伴双肺实变的BAC;B. 伴两肺模糊小结节;C. 同一患者高分辨率CT 显示弥漫分布的小结节
3. 癌性淋巴管炎
平片的典型表现为单侧或不对称的肺间质增生伴KerleyB 线,但常见不典型表现。高分辨率CT 常显示小叶间隔增厚(图16),支气管血管周围间质增厚和叶间裂增厚。

图16 肺癌的淋巴管播散
高分辨率CT 显示单侧的小叶间隔(黑箭头) 增厚和支气管血管周围的间质(白箭头) 增厚,右侧胸腔可见积液
五、肺门肿块或淋巴结增大
影像学上肺门增大提示起源于中央区域的原发性肿瘤(模糊肺门肿块)(图17) 或周围型肺癌肺门淋巴结转移(边界清楚肺门肿块)(图18)。鳞癌常见。肺门淋巴结增大与中央肿块融合是小细胞肺癌的特征(图13)。

图17 石棉暴露后的右肺门肿瘤
A. 胸片显示边界不清的右肺门肿块(箭头),为典型的起源于肺门的肿瘤,可见石棉暴露后引起的胸膜增厚和钙化; B. 大的、边界不清的右肺门肿块包绕致右肺上叶支气管狭窄,为典型的小细胞肺癌的征象

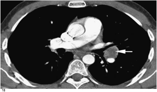
图18 周围型肺癌转移伴左肺门淋巴结增大(箭头)
肺门肿块边缘锐利
六、胸膜异常
1、气胸
在支气管肺癌中,自发性气胸很少见,常由脏层胸膜或胸膜腔直接侵犯导致(图19)。

图19 胸片和CT 上显示空洞型的鳞状细胞癌伴气胸
2、外部性气胸
平片或CT 扫描显示了新月形气体聚集在不张肺叶周围胸腔(图20)。最常见于右上叶肿瘤。

图20 小细胞肺癌的阻塞性肺不张后外部性气胸,右肺上叶支气管阻塞
A. 胸片显示右肺门肿块和右上叶不张伴肺尖气胸( 箭头);B.CT 显示气胸(箭头) 包绕右上叶不张, 可见右上叶支气管阻塞,为典型的外部性气胸表现
---摘自《胸部影像学(第2版)》(科学出版社)